2012年公卫执业医师资格考试症状与体征临床综合试题5

发布时间:2012-04-28 共1页

 症状与体征(A3型题)
一、A3型题:以下提供若干个案例,每个案例下设若干道考题。请根据答案所提供的信息,在每一道考题下面的A、B、C、D、E五个备选答案中选择一个最佳答案。
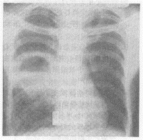
(1-5题共用题干)
阅读胸片
1.首先考虑的疾病是




2.病灶部位




3.有规律的呼吸几次后,突然停止一段时间,又开始呼吸。周而复始。相应的呼吸类型




4.常见的病因




5.类似病因的呼吸类型





正确答案:1.D;2.B;3.B;4.E;5.D 解题思路:胸片显示右肺第二、四前肋间巨大的空洞影,空洞有液平,洞壁较厚,周围有炎症浸润,是较典型的肺脓肿X线表现;结合侧位片或胸部CT还可以明确肺叶、肺段。
 
(6-8题共用题干)
男,24岁,冬春季节上腹痛发作已有4年,近半月来上腹痛加重,伴返酸及饥饿痛,并有半夜痛,痛醒后进食使疼痛缓解。1小时前突然发作上腹部刀割样剧痛,大汗淋漓,面色苍白,腹痛迅速蔓延至全腹而来院急诊
6.该患者在体检时最可能出现的体征是




7.为协助作出诊断首选的检查是




8.据上述症状、体征及检查考虑诊断为何病





正确答案:6.C;7.D;8.C

百分百考试网 考试宝典

立即免费试用